Das Gelenk zwischen Schulterdach (Akromion) und Schlüsselbein (Klavikula) wird Schultereckgelenk (Akromioklavikulargelenk oder AC-Gelenk) genannt. In diesem Gelenk können nach Bandverletzungen oder nach langjähriger schwerer körperlicher Arbeit Veschleißerscheinungen auftreten. In einem großen Teil der Fälle ist aber eine genaue Ursache des Verschleißes nicht nachzuvollziehen. Im Rahmen dieser Verschleißerscheinungen kommt es zur Verschmälerung des Abstandes zwischen Schlüsselbein und Schulterdach und zum Reiben von Knochen auf Knochen, da der knorpelige Puffer sich abnutzt. Diese Veränderungen im Schultereckegelenk können zu weiteren Veränderungen des Gleitraumes (subakromialer Raum) führen. Dabei kann sich ein erhöhter Druck auf die Muskel-Sehnenplatte (Rotatorenmanschette) ausbilden. Dies wiederum kann ein Engpasssyndrom (Impingementsyndrom) mitverursachen.


Die Patienten klagen meistens über Schmerzen bei Bewegung des Armes nach vorne und zur Gegenseite. Oft ist der Bereich über dem Schultereckgelenk druckempfindlich und das Liegen auf der betroffenen Seite ist schmerzhaft.
Bei der klinischen Untersuchung sind verschiedene Funktionstests positiv (O´Brien, Bell-vanRiet, cross body Test). Das Gelenk ist druckemfindlich und geschwollen. Bei alten Bandverletzungen findet sich eine vermehrte Verschieblichkeit des Schlüsselbeines.
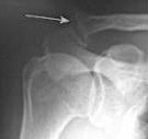
Im Röntgenbild finden sich degenerative Veränderungen wie Knochenanbauten und Verschmälerung des Gelenkspaltes. Bei alten Bandverletzungen fällt ein Höhertreten des Schlüsselbeines im Verhältnis zum Schulterdach auf. Im MRT und im Ultraschall finden sich Reizzeichen wie Flüssigkeitsansammlungen und Verdickung der Weichteile. Eine alte Bandverletzung kann durch narbige Veränderungen und Fehlstellungen im Bereich des AC-Gelenkes festgestellt werden.

Handelt es sich um eine isolierte Arthrose des AC-Gelenkes bei intaktem Bandapparat, dann erfolgt in der Regel eine arthroskopische Operation. Bei dieser minimal invasiven Operation wird das äußere Ende des Schlüsselbeines mit einer kleinen Fräse um ca. 5mm gekürzt. Dabei wird der Abstand zwischen Schlüsselbein und Schulterdach im betroffenen Gelenk erweitert. Knochenanbauten, welche auf die Muskel-Sehnenplatte (Rotatorenmanschette) drücken, werden dabei ebenfalls abgetragen. Der Bandapparat, welcher das Schlüsselbein am Schulterblatt und Schulterdach fixiert, wird dabei auf jeden Fall geschont und darf nicht entfernt werden.

Diese Operation kann kurzstationär (2-3 Tage) durchgeführt werden. Dabei wird die Schulter nur kurzfristig in einem Schlingenverband gelagert. Mit den frei gegebenen Bewegungsübungen kann sofort begonnen werden. Die Heilungsphase dauert ca. 8 Wochen.
Tritt die Arthrose Schultereckgelenkes aber infolge einer alten Verletzung nach Zerreißung der Bänder des Gelenkes auf (Schultereckgelenkssprengung oder Tossy-Verletzung), so muss eine abgewandelte Technik angewandt werden.
In einer offenen Operation wird über einen ca. 10cm langen Hautschnitt das äußere Ende des Schlüsselbeines wie bei der isolierten AC-Arthrose entfernt. Zusätzlich muss aber das Schlüsselbein zur korrekten Position wieder am Schulterblatt fixiert werden. Dazu wird ein Teil einer körpereigenen Sehne vom Oberschenkel zur Fixierung verwendet (Gracilis-Sehnenplastik des Schulereckgelenkes). Diese Sehne verbindet Schlüsselbein und Schulterblatt und ersetzt somit den gerissenen und fehlenden Bandapparat.
Die Operation ist kurzstationär mit einem Aufenthalt von 2-4 Tagen durchführbar. Die Schulter wird in einem Schlingenverband ruhig gestellt und ab dem ersten Tag kann mit den Bewegungsübungen begonnen werden. Diese werden bis maximal Schulterniveau für 6 Wochen limitiert. Ein spezielles Nachbehandlungsprogramm wird Ihnen mitgegeben.
Bitte vereinbaren Sie bei Schulterbeschwerden telefonisch einen Termin für die Schultersprechstunde von Schulterspezialist Dr. Dirk Frauenschuh (verantwortlicher Arzt des Bereichs Schulterchirurgie). Tel.: 030 3997740.
 
Besuchen Sie die Schultersprechstunde von Schulterspezialist Dr. Frauenschuh
